5. Choice B it the correct answer. The Trigeminal nerve is responsible the corneal reflex. The optic nerve is responsible for actually seeing the object touching the cornea, but there is no motor component. The facial nerve is responsible for the features of facial expression (smile, frown, wrinkle forehead, and puff cheeks out). The occulomotor nerve is responsible for direct and consensual pupillary light response and some of the extra-occular movements.
Neurology Questions 1-5
Sunday, March 3, 2013
Question 5
5. Which cranial nerve is responsible for the corneal reflex?
A. VII (Facial)
B. V (Trigeminal)
C. III (Occulomotor)
D. II (Optic Nerve)
A. VII (Facial)
B. V (Trigeminal)
C. III (Occulomotor)
D. II (Optic Nerve)
Answer and Explanation 4
4. Choice B is the correct answer. This patient has bacterial meningitis. The current standard of care is to start the patient on Rocephin 2 grams, Vancomycin 1 gram, and Acyclovir IV until the cultures come back or gram stain is available. Patients with viral meningitis typically have low WBC and normal glucose. Patients with viral meningitis only need to be admitted for symptomatic management or if they have comorbid disorders. These results are definitely not normal. Technically any WBC over 5 in the CSF is considered abnormal.
Question 4
4. Your patient is an 38 year old male that presents with a fever of 102, headache, neck pain and stiffness. He has had nausea and vomiting. You decide to do a spinal tap and the results are as follows:
WBC 2500, RBC 2, Glucose 12 (low), Protein high. The patients culture and gram stain is pending. Based upon this data, which of the following is the best management option?
A. Admit the patient to the hospital for symptomatic treatment.
B. Give the patient 2 grams or Rocephin IV, 1 gram of Vancomycin, and Acyclovir IV and admit the patient to the hospital
C. Start the patient on Acyclovir empirically and admit the patient to the hospital.
D. Discharge the patient home, these spinal results are normal
WBC 2500, RBC 2, Glucose 12 (low), Protein high. The patients culture and gram stain is pending. Based upon this data, which of the following is the best management option?
A. Admit the patient to the hospital for symptomatic treatment.
B. Give the patient 2 grams or Rocephin IV, 1 gram of Vancomycin, and Acyclovir IV and admit the patient to the hospital
C. Start the patient on Acyclovir empirically and admit the patient to the hospital.
D. Discharge the patient home, these spinal results are normal
Answer and Explanation 3
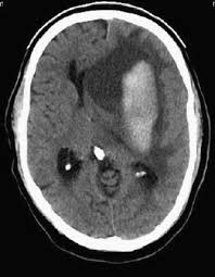
3. C is the correct answer. This patient has a large left sided subarachnoid hemorrhage with a midline shift. She needs her Coumadin reversed as soon as possible. Protamine is the reversal agent for heparin not Coumadin. Patients with subdural hematoma have the bleeding around the outside of the brain not in the parachemyma. This patient does not have a visible brain mass on CT scan. It is not uncommon for patients to bleed into the mass but they are usually more circumscribed and not so irregular.
Question 3
3. Your patient is a 83 year old female who presents with a headache and the CT scan below. She is also on Coumadin. Based upon this data, which of the following is the best management plan?
A. Stat neurosurgery consult, give the patient protamine sulfate, and admit to the hospital
B. Consult trauma surgery for the patients subdural hematoma
C. Given the patient fresh frozen plasma, vitamin k, consult neurosurgery and admit to the hospital.
D. Consult oncology for the patients brain mass
A. Stat neurosurgery consult, give the patient protamine sulfate, and admit to the hospital
B. Consult trauma surgery for the patients subdural hematoma
C. Given the patient fresh frozen plasma, vitamin k, consult neurosurgery and admit to the hospital.
D. Consult oncology for the patients brain mass
Answer and Explanation 2
2. Choice A is the correct answer. Patients with unilateral weakness or sensory complaints have the lesion in the contralateral cerebral hemisphere. A brain stem infarct would cause contralateral weakness or sensory complaints on the contralateral side, it would cause ipsilateral weakness or sensory complaints in the pace. Occipital CVA's typically cause hemivisual loss to the contralateral from the contralateral hemisphere.
Subscribe to:
Comments (Atom)